Hælspore

 

Det enkle men komplekse problem. Det gør ondt. Til tider meget ondt. Det forhindrer normal gang, måske må man humpe. Når det er slemt, må der bruges krykker. Al sportsaktivitet må pakkes væk. Kort sagt, et yderst plagsomt problem.

 
Hælspore

Lad os lige indledningsvis se hvad det drejer sig om og bagefter se på løsningen.

Hvis svangsenen, der løber under foden fra hælens forreste del til bag på tæerne, over længere tid er for spændt, kan det indledningsvis skabe en inflammation med tilhørende smerte. Kroppen vil, hvis ikke problemet forsvinder, prøve at forstærke hæftepunktet på hælen ved at danne en lille knogleudvækst – en spore. Den er som sagt egentlig ment fra kroppens side til at forstærke området, men samtidig skaber den problemer. En knogleudvækst er i sagens natur stiv, og er der noget, man ikke har brug for i det område, så er det stivhed. Der er brug for fleksibilitet, for at vi kan gå og løbe. Som følge af denne mismatch kommer der en inflammation, og det er den, der skaber smerten.

Symptomer og behandling af hælspore

 

Området over sporen er ofte hævet og er meget følsomt for tryk. Mange hælsymptomer kaldes over en kam for hælsporer, men er det i realiteten ikke. Hvis man kan trykke på hælens forreste del uden at opleve synderlige smerter, er det ikke en hælspore, men blot en anden form for irritation i hælområdet. Behandlingen er dog ikke fra det ene til det andet særlig forskellig.

Antiinflammatorisk medicin hjælper, hvis der er aktiv inflammation, men kun imens det tages, da det ikke fjerner årsagen. Da den type medicin (ofte kaldet gigtmedicin) ikke er uden bivirkninger, er det ikke en særlig egnet behandlingsstrategi.

Når man skal behandle en hælspore, skal man se på årsagen: for meget spænding i svangmusklen/senen. Svaret på, hvorfor der er for meget spænding, skal findes både lokalt og fjernt. Lad os først se på de tre B’er, nemlig de 3 årsager til at en muskel spænder. Primærårsagen til spænding er naturligvis BEVÆGELSE, men i hælsporesammenhænge er de 2 andre b’er de interessante. Vores muskler spænder også for at BESKYTTE ‘lokalområdet’ og for at hjælpe os med at holde BALANCE. Hvis der er et lokalt problem i fodens led, vil svangsenen spænde, og hvis der er problemer højere oppe i kroppen, i f.eks. knæ, hofte eller bækken, vil svangsenen også skulle spænde for at hjælpe med at holde balancen.

 

Det er altså et større analysearbejde at fjerne de ofte mange årsager til en hælspore. Det kan være problemer i forfoden efter at den har været stødt eller trådt på, det kan være eftervirkninger i anklen efter en tidligere forstuvning, det kan være stivheder i knæene efter en gammel håndboldskade, det kan være stivheder i hofterne efter fald på dem, osv. osv.

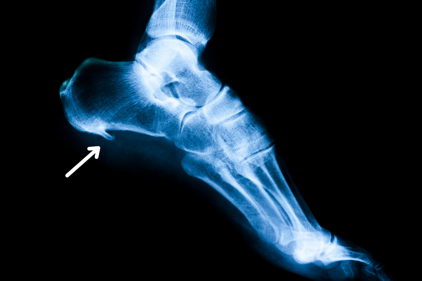
Hælspore røntgen

Hos Kiropraktor.com foretager vi analysen og retter de bagvedliggende fejl. I nogle tilfælde er behandlingen nødt til at blive suppleret med chokbølgebehandling. Det har vi rådighed over i klinikken i Sorø og kan i Odense-klinikken henvise til gode kolleger.

online booking

Læs mere om relaterede emner:

Løbeskader
Hold i ryggen
Forstuvet ankel